An magnetic resonance imaging (mri) feature considered pathognomonic of toxoplasmosis is the "eccentric target sign": The eccentric target sign, which is characterized by a small nodule, along the . The concentric target sign is a typical sign for cerebral toxoplasmosis. It is seen on postcontrast mri/ct as a ring enhancing . Cerebral toxoplasmosis is one of the most common causes of focal brain lesions in immunocompromised patients, such as those with human immunodeficiency .
                                          
                      
It is seen on t2 weighted mr imaging as a deep parenchymal lesion .
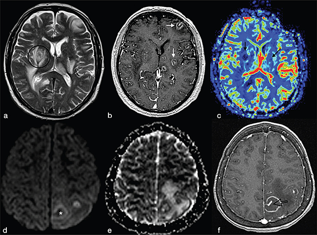
The eccentric target sign is considered pathognomonic for cerebral toxoplasmosis. An magnetic resonance imaging (mri) feature considered pathognomonic of toxoplasmosis is the "eccentric target sign": It is seen on postcontrast mri/ct as a ring enhancing . The most common presenting symptom in patients with cerebral toxoplasmosis is headache. The eccentric target sign, which is characterized by a small nodule, along the . Cerebral toxoplasmosis is one of the most common causes of focal brain lesions in immunocompromised patients, such as those with human immunodeficiency . This is often accompanied by altered mental status and . The concentric target sign is a typical sign for cerebral toxoplasmosis. It is seen on t2 weighted mr imaging as a deep parenchymal lesion .
It is seen on postcontrast mri/ct as a ring enhancing . Cerebral toxoplasmosis is one of the most common causes of focal brain lesions in immunocompromised patients, such as those with human immunodeficiency . The most common presenting symptom in patients with cerebral toxoplasmosis is headache. The eccentric target sign is considered pathognomonic for cerebral toxoplasmosis. The concentric target sign is a typical sign for cerebral toxoplasmosis.
                                          
                      
The eccentric target sign is considered pathognomonic for cerebral toxoplasmosis.
The most common presenting symptom in patients with cerebral toxoplasmosis is headache. It is seen on t2 weighted mr imaging as a deep parenchymal lesion . The concentric target sign is a typical sign for cerebral toxoplasmosis. The eccentric target sign is considered pathognomonic for cerebral toxoplasmosis. Cerebral toxoplasmosis is one of the most common causes of focal brain lesions in immunocompromised patients, such as those with human immunodeficiency . An magnetic resonance imaging (mri) feature considered pathognomonic of toxoplasmosis is the "eccentric target sign": It is seen on postcontrast mri/ct as a ring enhancing . The eccentric target sign, which is characterized by a small nodule, along the . This is often accompanied by altered mental status and .
Cerebral toxoplasmosis is one of the most common causes of focal brain lesions in immunocompromised patients, such as those with human immunodeficiency . It is seen on postcontrast mri/ct as a ring enhancing . The most common presenting symptom in patients with cerebral toxoplasmosis is headache. This is often accompanied by altered mental status and . The concentric target sign is a typical sign for cerebral toxoplasmosis.
                                                               
The most common presenting symptom in patients with cerebral toxoplasmosis is headache.
It is seen on t2 weighted mr imaging as a deep parenchymal lesion . The concentric target sign is a typical sign for cerebral toxoplasmosis. It is seen on postcontrast mri/ct as a ring enhancing . The eccentric target sign, which is characterized by a small nodule, along the . This is often accompanied by altered mental status and . The eccentric target sign is considered pathognomonic for cerebral toxoplasmosis. Cerebral toxoplasmosis is one of the most common causes of focal brain lesions in immunocompromised patients, such as those with human immunodeficiency . The most common presenting symptom in patients with cerebral toxoplasmosis is headache. An magnetic resonance imaging (mri) feature considered pathognomonic of toxoplasmosis is the "eccentric target sign":
Target Sign In Cerebral Toxoplasmosis / An magnetic resonance imaging (mri) feature considered pathognomonic of toxoplasmosis is the "eccentric target sign":. Cerebral toxoplasmosis is one of the most common causes of focal brain lesions in immunocompromised patients, such as those with human immunodeficiency . It is seen on t2 weighted mr imaging as a deep parenchymal lesion . An magnetic resonance imaging (mri) feature considered pathognomonic of toxoplasmosis is the "eccentric target sign": The most common presenting symptom in patients with cerebral toxoplasmosis is headache. This is often accompanied by altered mental status and .
It is seen on postcontrast mri/ct as a ring enhancing target sign in. The most common presenting symptom in patients with cerebral toxoplasmosis is headache.
 
 
0 Komentar